首页
关于普博
江南(中国)
客户服务
新闻中心
江南(中国)
产品试用
搜索
搜索
CN
CN
EN
RU
ES
FR
搜索
首页
关于普博
公司概览
全球市场
研发创新
制造中心
社会责任
荣誉
江南(中国)
生命支持
医学影像
医用耗材
家用医疗
智慧医疗
客户服务
服务网点
服务理念
服务优势
服务产品
问题反馈
相关下载
新闻中心
公司动态
市场活动
产品快讯
VR展厅
江南(中国)
加入我们
江南(中国)
产品试用
公司概览
全球市场
研发创新
制造中心
社会责任
荣誉
生命支持
医学影像
医用耗材
家用医疗
智慧医疗
呼吸机
麻醉机
输注泵
空压机
监护仪
微型超声
耗材
家用呼吸机
服务网点
服务理念
服务优势
服务产品
问题反馈
相关下载
公司动态
市场活动
产品快讯
VR展厅
加入我们
江南(中国)
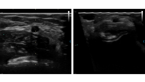
iSoniQ80系列
可视化随身诊疗彩超
普博新一代掌上超声系统,提供多探头解决方案,采用先进的芯片及图像处理技术,呈现出清晰的图像,可应对各种复杂的临床应用场景;既是临床视诊器,也是基层随身超。
热拔插技术
一机支持三把探头,满足各种临床应用场景
操作便捷,无需关机,支持冻结状态切换探头
维护方便,降低科室采购及维修成本
二代芯片
升级后,单颗集成32物理通道,低功耗图像更优质
多种图像优化技术,提升二维图像分辨力及血流灵敏度
专业算法,增强图像细节,提高图像清晰度
特色应用
声速偏转,增强穿刺显影
智能预设,一键呈现最佳的参数模式
甲乳、肾内、肿瘤等,POC科室专业化穿刺解决方案
5G超声云
技师扫查医师诊断,提高工作效率
具备会诊申请量、出诊量、部位检查量统计
支持远程模块升级
开云官方端网站登录入口
|
江南网页版登录入口
|
乐玩在线登录
|
同花顺·同花顺(中国)官方网
|
半岛网页版
|
开云官方版网站登录入口
|
开云在线
|
乐投线上平台
|
江南全站
|